ホワイトニング
Home Whitening (ホームホワイトニング)
コストパフォーマンスの高い、最もポピュラーな方法です
ホワイトニングを行う前に
- 1診査・診断
- ホワイトニングを行う前に、医師による診断が必要となってきます。もし虫歯や歯石がある場合はその治療が先となります。
- 2虫歯治療
- 虫歯がある状態でホワイトニングを行うと、痛みがでる原因になります。 治療してからホワイトニングをしましょう。
- 3クリーニング
- 歯石やステインなどの汚れがついていると効果も出にくいです。クリーニングでしっかり汚れを落としましょう。
- 4ホワイトニング開始
- いよいよホワイトニング開始です。
ホワイトニングとは?
ホワイトニングとは歯の表面に付いた色素を落としたり、歯の中にある色素を分解して歯を明るくし、歯を白くする技術です。
ホワイトニングの治療では、まず歯の表面に薬剤を塗ります。
この薬剤には過酸化水素が含まれていて、活性化されると酸素(ラジカル)を発生します。
この酸素がエナメル質内の色素を分解して歯を白くするというわけです。
歯の変色の原因
- 外因性の着色
- コーヒー、お茶、赤ワイン、タバコなどの嗜好品
- 内因性の変色
-
- 加齢による変色
- 外傷などによる失活歯髄
- 薬剤(テトラサイクリン)による変色
ホワイトニングの注意事項
ホワイトニング中は他からの色素の吸収が通常に比べて高くなっています。主に気を付けることは飲食です。
- 色の濃い飲み物
-
- コーヒー
- お茶
- 赤ワイン
- 栄養ドリンク
- コーラ
- 色の濃い食べ物
-
- カレー
- ソース
- 醤油
- ケチャップ
- ベリー類
- タバコ
ホワイトニング後も、24~48時間は摂取を控えた方が良い。
※これらを摂取したからといって白くならないわけではありませんが効果が出にくくなります。
色の後戻り
-
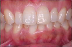
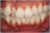
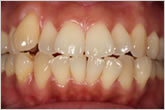
施術前
-
施術後
-
1年後
洗剤を使い漂白された白いシャツが再び黄ばんでくるのと同じで、一度ホワイトニングで白くなった歯も、日々の生活で少しずつ着色して色の後戻りがおこります。
歯の色が気になってきたらその都度ホワイトニングをしてもらいます。
色の濃い食べ物を好む人はホワイトニングをした後、色の後戻りが早く起こるとされています。
ホワイトニングは施術後、半年から1年で色が後戻りします。
ホワイトニングの方法
- オフィスホワイトニング

- ホワイトニング剤を表面に塗布し、ハロゲンライト(光照射器)などを当てて薬剤の活性化を促進し、歯の中にある色素を分解します。 短時間で歯が白くなります。
- ホームホワイトニング

- マウスピースの中にホワイトニング剤を入れて白くする方法です。オフィスに比べると、手軽で簡単です
※当院ではコストパフォーマンスの高い、メンテナンスもしやすいホームホワイトニングを行っております。
失活ホワイトニング
無髄歯(歯の神経がない)で変色した場合は、通常のホワイトニングでは白くなりません。 その場合は失活ホワイトニングといって、歯の中から白くする方法があります。
- まず、内側の目立たないところから穴をあけ、中に薬剤をいれ、仮の蓋をします。
- これを何回か繰り返していくと徐々に白くなっていきます。
- 最後に納得のいく白さになったら、最終的な蓋をして終了です。
※料金は1歯で20,000円(税抜)です。
ホワイトニングのメリット・デメリット
- メリット
-
- 自分の歯を抜いたり、削ったり、傷めたりせずに歯を白く出来る。
- 天然の歯の色を明るくしていくので不自然な白さにはならない。
- 回数によって白さを調節できる。
- 見た目の印象が良くなる。
- 笑顔に自信がもてるようになる。
- デメリット
-
- 効果は半年~1年でその後は歯の白さを保つために追加のホワイトニングが必要になってくる。
- 人工歯は白くならない。
- 飲食に制限がでてくる。
- 結果の予測が難しい。
価格表
- 片顎
- 20,000円(税抜)(ジェル2本付)
- 全顎
- 30,000円(税抜)(ジェル4本付)
- 追加ジェル
- 1本2,000円(税抜)
※追加ジェルはいつでも受付にてご購入いただけます。
知覚過敏
まれにホワイトニング中に知覚過敏になる場合があります。
しかし、一時的なものなのでホワイトニングを2~3日やめるか、時間を短くするなどで改善します。
ホワイトニング時間を短くしても6割は効果を発揮できます。
ホワイトニングトレーの取扱い方法
-
ジェルは米粒くらいの大きさをトレーにいれてください。
※ジェルはたくさん入れ過ぎても効果はあまり変わりません。 -
その後、お口の中に歯と密着するようにセットして、就寝します。
- 朝起きたらトレーをはずします。
- トレーは使用後水洗し、その後乾燥させてください。
※必ず水で洗って下さい。お湯を使うと変形してしまいます。
ホワイトニングが向かない症例
- 無カタラーゼ症候群・・・
- 薬にアレルギーのない健康な場合は、過酸化水素を分解する酵素を備えているので万が一ホワイトニング剤を飲み込んでしまってもそれほど問題は無いのですが、薬剤に含まれる物質を分解することができない無カタラーゼ症の方に歯のホワイトニングは危険です。 歯のホワイトニングの薬剤を飲み込んでしまった場合、無カタラーゼ症の方は体内に分解できない成分が蓄積されてしまいます。 過酸化水素が分解されないと、進行性口腔壊死などの危険な疾患を招くことがあります。
- 診断方法
- オキシドール(02)を傷口に塗り、白い泡が立たない場合は無カタラーゼ症の疑いが強い。
- セラミックの歯や入れ歯などの人工歯・・・人工の歯は白くなりません。
- 失活歯・・・歯の神経が死んでしまった場合の変色は失活ホワイトニングで白くなります。
- 虫歯がある方・・・痛みがでる可能性があるため。
- テトラサイクリンによる変色歯・・・重度の変色の場合、効果が出ないことがあるため。
- 歯の発達が十分ではない方・・・エナメル質形成不全など
- 妊娠中の方・・・歯のホワイトニングといえど薬剤は避けるほうが良い。
- 14歳以下の小児・・・歯の成長期に影響する為
※高校生以下でホワイトニングをする場合は保護者の承諾が必要です。

