インプラントについて
インプラントとは
天然歯根の代用となる人工歯根のことです。
歯が抜けたままになっていたり、入れ歯がぴったりと合ってなかったり、口元が気になって自然な表情ができなかった方でもインプラントをいれることによって、今までの不快感がなくなり、楽しく笑ったり、美味しく食べることができます。
インプラント本体は外科手術により顎の骨に埋め込みます。埋め込まれたインプラントは、平均1.5ヶ月~3ヶ月の期間を経て骨にしっかりと固定されます。
- インプラント治療の利点
-
- ●固定式の歯をいれることができるので、通常の入れ歯のようなズレや食べ物のかけらが入った時の痛みがなく、天然の歯とほとんど同じ感覚で咬めます。
- ●自然な外観や表情を取り戻すことができ、人前で話すこともまったく平気です。
- ●噛む機能が回復することで食べ物の制限がなくなり、バランスの良い食事が楽しめます。


下あごの左右の奥がなくなってしまった方です。
保険で義歯をつくりましたが見た目にも機能的にも満足がいきませんでしたのでインプラントをすることを決意されました。
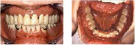
インプラント埋入後の状態です。
インプラントが安定したら上部構造(歯)をつくり噛める状態になり、見た目の問題も解消されました。