セラミックインレー
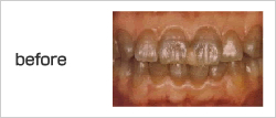
金属のつめ物では、大きく口を開けた時や笑った時に目立ってしまいます。
患者様の歯と色味を選んでセラミックでできた部分的なつめ物にやりかえると自然に仕上がります。
見た目が良く金属を使用しないので、金属アレルギーなどが起こる可能性がないことや、硬すぎないので周囲の歯や噛み合う歯を痛めにくい等のメリットがあります。


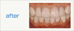
金属のつめ物では、大きく口を開けた時や笑った時に目立ってしまいます。
患者様の歯と色味を選んでセラミックでできた部分的なつめ物にやりかえると自然に仕上がります。
見た目が良く金属を使用しないので、金属アレルギーなどが起こる可能性がないことや、硬すぎないので周囲の歯や噛み合う歯を痛めにくい等のメリットがあります。


歯の表面をごくわずか(約0.5mm)削り、セラミック薄板を接着します。
耐磨耗性、耐変色性に優れ、ご希望の色、形に仕上がります。
ホワイトニングで効果のでにくい方や、同時に歯の形態整形をご希望される方に最適です。




虫歯や折れた歯など、損傷の大きい歯を修復する為にセラミックのかぶせ物で覆います。
色、形、咬み合せは天然の歯と変わりありません。


歯ぐきの黒ずみを無くし、美しい色に戻します。通常1~4回くらいの来院で済みます。

